|
Gemeinschaftspraxis Dr. Schöndube und Dr. Geist
38102 Braunschweig - Altewiekring 30
Katheterlabor
DSA- (Röntgen) -
Anlage

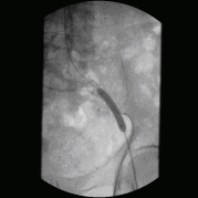
Abb.: Hochgradige Einengung in der Beckenarterie links, durch Ballonkatheter erfolgreich aufgeweitet
Gefäßrisikofaktoren wie Nikotin, erhöhter Blutdruck, Diabetes und Cholesterin können zu Engstellen und
Verschlüssen an den Arterien von Armen und Beinen führen. Diese machen sich dann durch Schmerzen in der Muskulatur bei körperlicher Anstrengung besonders beim Laufen bemerkbar. Man spricht dann von
„Schaufensterkrankheit“. Die Heilung von Wunden ist dann behindert. In schweren Fällen kann die Extremität gefährdet sein.
Schon vor 30 Jahren wurde ein Verfahren entwickelt, Engstellen in den Arterien mit einem Ballonkatheter
aufzuweiten. Der technische Fortschritt hat dazu geführt, dass immer kompliziertere Einengungen der Arterien mit
dem Ballonkatheter unter örtlicher Betäubung behandelt werden können. Zum Teil ist es dann nötig Gefäßstützen, sog. Stents, in das Gefäß einzusetzen.
Abb. Stent
Mittlerweile sind die Katheter so fein geworden, dass diese Eingriffe nicht mehr im Krankenhaus durchgeführt
werden müssen. Seit 2001 führen wir diese Eingriffe ambulant durch und freuen uns, dieses in der neuen
Umgebung des Schlosscarree´ in der Praxis Dr. Kyas unter optimalen Bedingungen weiterführen zu können.
Nach dem Eingriff
Nach dem Eingriff ist eine 4-6-stündige Ruhezeit erforderlich, in der die Einstichstelle in der Leiste mit einem
Kompressionsverband abgedichtet wird. Wir haben die Gelegenheit des Praxisneubaus genutzt, um unseren Patienten diese Zeit so angenehm wie möglich zu gestalten:
Der Ruhebereich ist zum übrigen Praxisbereich getrennt. Er steht ganz unseren Gefäßpatienten zur Verfügung
und wird von einer eigenen Krankenschwester betreut.
Die Liegen sind in Rücken- und Beinposition verstellbar und erlauben ein bequemes Liegen auch bei Rückenbeschwerden.
Zur Unterhaltung stehen Zeitschriften und jedem Patienten ein Fernsehgerät mit Kopfhörer zur Verfügung.
|